赤ちゃんの診療

BABY'S DENTAL TREATMENT

\歯が生えてないけれど、歯医者さんに聞きたいことがたくさんあります!/

そんなママのためにできました!

0歳児対象の予防歯科クラブ
「スマイル28ベビー」

赤ちゃんのときの周囲の大人たちの関わり方、とくに 生後三か月までの抱っこ、ねんね、授乳といった生活の中の姿勢によって、その後の 顎の発育、食べ方、歯並びに差がでることがわかってきました。
 
口のはたらき、機能とは、
 
飲み込む、食べる、味わう、話す、歌う、笑う
 
などなど、人間が生きていくために大切なことばかり!
 
お口の機能を育てることを口腔機能育成、口育(こういく)といいます。
当院は口育士(日本口育協会)が8名在籍し、お子様のお口育てのアドバイスをしております。

 
 

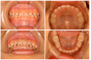
当院では1年に一回、お口の中の写真を撮影しております。
定期的に記録を残すことで、その後の成長の予測を立てやすくなるのです。
必要であればレントゲン写真撮影も行います。

毎年写真を撮るたびに成長がわかるので、喜ばれています。

スマイル28ベビーの会員になると…

★ 赤ちゃん歯科健診 500円/回

3か月に1度、小児歯科担当歯科医師である院長と、保育士(口育士・口栄士)が、お母さまの気になること、お口の育ちに良い遊び、離乳食、ねんね、抱っこ、歯磨き好きになるコツについて、アドバイスいたします。
【内容】
・口腔内写真撮影
・歯列模型採取(希望者のみ)
・お口の発達相談
もちろん、はみがきや歯並びなど、気になることは何でも聞いてください!
 

★ きらぴかベビークラス会員価格

赤ちゃんの発達を助ける口育ミニ講話とタッチケア教室が同時に受講できる、ベビークラスを定期開催しております。
※現在休止中。2025年9月再開予定。

スマイル28ベビー会員は、会員価格で受講できます。
 

★ 保護者1名の唾液検査無料

会員の保護者のお口の環境を調べる唾液検査(3,800円)を1回無料で受けることができます。
年会費は2,500円(税込)です。

お問い合わせはダイセー歯科クリニックまで、電話の他、各種SNSからでもOKです。
お気軽にどうぞ!

お問い合わせ先

ダイセー歯科クリニック

電話で問い合わせ
 
お問い合わせはお電話(025-373-3883)やLINEなどで、お気軽にご相談ください。
Facebookのメッセンジャー、InstagramのDM、LINEでもお問い合わせを受け付けております。
 

友だち追加

生まれてくる赤ちゃんの為にできること

生まれたばかりの赤ちゃんのお口には、むし歯菌はいないといわれています。
歯が生えてくる生後半年から生えそろう3歳頃までに、回りの大人のお口から唾液を介して感染することが知られています。
この時期を感染の窓といいます。窓を開けると風が入ってくるように簡単に感染してしまう時期だからです。
しかしながら、むし歯というのは、感染したら必ず発症する病気ではありませんし、感染の窓の時期には、口腔内から胃腸まで、さまざまな細菌が定着していくと言われています。細菌は、住みやすい環境に出会うと、増えて、定着します。お口の中にむし歯菌を定着させないために、周りの大人たちができることはたくさんあります!
 
生まれてくる赤ちゃんのためにできる、マイナス1歳からのむし歯予防をお勧めしております。

妊娠中の口腔内環境を整える

マイナス1歳からのむし歯予防とは妊娠中から口腔内環境を整える予防法です。
赤ちゃんはお母さんから栄養をもらいながら、歯の元を作っています。

ムシ歯をしっかりと治し、口腔内環境を整えることだけでなく、歯の形成に不可欠な良質のタンパク質やカルシウム、リンなどの無機質、ビタミンA、Dなどをバランスよく食事から摂取しましょう。
 
妊娠中はホルモンバランスにより、唾液の量が変化し、歯ぐきに炎症を起こしやすくなります。
妊娠性歯肉炎はエストロゲン(女性ホルモン)を好む細菌が原因です。
妊娠中に歯茎が赤く腫れるなどの症状が出たら、すぐに受診が必要です。
 
つわりで嘔吐した胃酸が歯の表面を溶かし、歯垢や汚れが歯に付きやすくなってしまうことなどから妊娠中は特にムシ歯や歯周病になりやすくなります。
歯周病により生み出された炎症性物質・細菌が血液を通って子宮や胎盤に流入することで子宮の収縮を促進、早産や低体重児出産の恐れもあります。

よくあるご質問

Q.つわりで歯みがきするのが辛いです

 
A.ヘッドの小さい歯ブラシを使うなどの工夫をしてみてください。
当院では歯科衛生士からあなたに合った歯科専売品の歯ブラシを処方いたします。
小さいブラシでも難しい場合は、フッ素入りのマウスウォッシュで「うがい」をし、お口の中を洗浄することをおすすめしております。(当院で処方できます。保険外、約20日分、500円程度)
 

Q.むし歯菌をうつさないために、スプーンや箸をわけたり、お顔にキスしないように気を付けています。何歳まで続けたらいいでしょうか?

 

A.あまり神経質になるのはお子さんのためにもよくありません。赤ちゃんの健やかな成長のために、スキンシップは大切です。

残念ながら、スプーンやお箸を分けることには、むし歯菌を感染させない効果は期待できないというデータがあります。
悪い菌に感染させたくないならば、ご自身のお口の中で 悪い菌が活躍できない状態を作ればいいのです。
家族みんなで定期的に歯科メインテナンスを受けて、口腔内環境を整えましょう。
 
2025.4.5
生まれてくる赤ちゃんの為に妊娠中の口腔内環境を整える

当院の受診がはじめての方へ

ご予約はお電話(025-373-3883)にてお願いいたします。
電話で初診予約
 
通院中の患者様は診察券アプリからのご予約が便利です。お急ぎの場合は診療時間内にお電話(025-373-3883)ください。
 
診察券アプリ、Web予約なら診療時間外でも、ご予約をお取りすることができます。
 
初診時の持ち物などは、当院の受診が初めての方へをご確認ください。
 

診療日のお知らせ